Aller au contenu
Géoforum est un forum de géologie, minéralogie, paléontologie, volcanologie et, plus généralement, un site dédié aux Sciences de la Terre et au patrimoine géologique. Les discussions s'organisent dans des espaces spécifiques, il existe un forum géologie, un forum minéraux, un forum fossiles, un forum volcans, etc. Une galerie de photos de minéraux ou de roches, de photos de fossiles, ou encore de sites géologiques ou de volcans permet de partager des albums. Il est possible de publier des offres d'emploi de géologue, ou des demandes d'emploi ou stage de géologues. Venez poser vos questions, partager vos connaissances, vivre votre passion !

Quelques-uns des principaux sujets de Géoforum

Bourse minéraux à Paris, avec fossiles et gemmes.
Bourse minéraux et fossiles à PARIS

Principaux sujets de Géoforum.


Bourse aux minéraux et fossiles de Beauvais.
Bourse aux minéraux et fossiles de Beauvais les 28 et 29 mars

Messages recommandés

Posté(e)
il y a 52 minutes, jjnom a dit :

Essayes quand même de savoir ce qui fait effervescence: les foraminifères/ le ciment/les 2?

 

Les foraminifères et le ciment semblent être attaqués par l'acide ...

Posté(e)
Il y a 5 heures, gaeldeploeg a dit :

La version en anglais, avec plus de text, mais ni planches ni photos:https://books.google.fr/books?ialveolina Aquitaine&f=false5abd1c16599a1_Sanstitre.thumb.png.f3102db144d89480c71b12f5bdc80fa0.png

 

Déjà , je pense que c'est bon pour le foraminifère planctonique Pseudotextularia nuttalli , vu dans un grainstone le 24 Janvier :

 

20180124_112859(0).jpg

 

=> http://www.mikrotax.org/pforams/index.php?taxon=Pseudotextularia nuttalli&module=pf_mesozoic

 

Les Lepidocyclina (Eulepidina) formosa , pareil , il y a bien des chances en tout cas :

 

Lepidocyclina-Eulepidina-formosa-Schlumberger-equatorial-section-Lepidocyclina.png

 

=> https://www.researchgate.net/figure/Lepidocyclina-Eulepidina-formosa-Schlumberger-equatorial-section-Lepidocyclina_fig3_287996008

 

En fait peut-être plus du genre Lepidocyclina Nephrolepidina ( photo 8 ) , et certainement plein d'autres genre encore ...

 

Invité jean francois06
Posté(e)

Une de tes galets 

5abdef3a71618_Nanilphoto.thumb.jpg.a3754d3dc9250d38d21f3484c5cacdab.jpg

On y reconnait :  Alvéolina oblonga

Une photo du site http://lithotheque.ens-lyon.fr/Lithotheque/FormRech/page.php?recup=G11.57

5abdef3f8a562_Capturealveolinaoblonga.thumb.JPG.ad4acef22df7c89246cfbd5200a604bf.JPG

Celles de ton image :

5abdeef52d3e7_Nanilphotocopie.thumb.jpg.5c0f61d6b26ebff041b2a7d6e5226779.jpg

Sur le tableau de corrélation, on est dans des calcaires gréseux; calcaire contenant des grains de quartz en quantité suffisante (30 à 50% généralement) pour lui donner l’aspect d’un grès. Age Eocène inférieur.

 

alveolina oblonga.JPG

Posté(e)

<< La série éocène affleurant dans la marnière de Miretrain, près dʼAngoumé (Landes, Aquitaine méridionale,

flanc nord de lʼanticlinal diapirique de Tercis) a livré une faune bien diversifiée de crinoïdes pédonculés,

dont les principaux éléments appartiennent aux genres Isselicrinus et Conocrinus .

 

Les caractères adaptatifs du pédoncule, liés à la profondeur chez les pentacrines du genre, Isselicrinus ,

ont permis la reconstitution de lʼétagement bathymétrique des crinoïdes pédonculés durant lʼÉocène.

 

Les indices bathymétriques fournis par les foraminifères benthiques et dʼautres organismes convergent avec ceux issus des crinoïdes

et permettent de suivre les étapes de la progradation dʼun talus sédimentaire bathyal

entre deux phases majeures du raccourcissement tectonique de lʼavant-pays pyrénéen.

 

La profondeur, supérieure à 700 m et pouvant atteindre 1000 m à la base de la série (Lutétien moyen),

se réduit à environ 50 m à son sommet (Bartonien supérieur).

 Pour citer cet article : M. Roux et al., C. R. Geoscience 338 (2006). >>

 

=> http://www.em-consulte.com/en/article/69457

 

Posté(e)
Il y a 4 heures, jean francois06 a dit :

On y reconnait :  Alvéolina oblonga

Ouf...Une Alvéoline: OK. Une A. oblonga, là, je n'oserais pas l'affirmer. Ce serait comme le gars qui ne boit que du Coca et doit dire si le pinard est du St Emilion ou du Pomerol.

On ne trouve pas beaucoup de doc sur ces bestioles pour pouvoir les déterminer avec certitude sur photo.

Et puis, le calcaire gréseux, je ne le sens pas. L'attaque acide semble montrer que le ciment est de la sparite (bien que l'allure de la cassure fasse penser à de la silice) et le résidu après attaque ne montre pas de grains de quartz ni nombreux ni évidents.

Ceci m'a semblé intéressant:  http://sigesaqi.brgm.fr/IMG/pdf/0754n.pdf

Les descriptions de formations sont assez précises. Le Lutétien sup et "l'Eocène supérieur moyen " ont l'air de pas mal correspondre à ce qu'on a vu récemment avec fréquemment des biosparites et biomicrosparites, alors que l'Oligocène semble être généralement micritique.

Posté(e)

Il va me falloir un peu de temps pour relire tous ces documents supra intéressants ,

car il y a la fatigue des yeux à prendre en compte , mais aussi la quantité d'information à assimiler ;

et c'est pourquoi nous pourrions tenter de déterminer ce qui va suivre dans pas trop longtemps ... grâce à ces objectifs .

Posté(e)

Interessant tout ceci

 

voir la publi de Strakos (qui connait bié ces forams) et Gely (qui connait bien cette periode aussi) sur le Paleogène d’Aquitaine

quelques sujets en post-doc serait en cours... affaire à suivre

Posté(e)

Et puis celui-ci doit bien être quelque part aussi !

 

<< II.D - FORAMINIFÈRES À TEST PORCELANÉ Ordre des MILIOLIDA 1 - Super-famille des MILIOLACEA Test dit pelotonné : les loges sont accolées, disposées dans plusieurs plans. Ouverture avec une dent ou criblée (Fig. 15, Photos 62 - 63, Vidéos 1 - 2 - 3). Répartition stratigraphique: Jurassique à Actuel. >>

 

20180311_141512.jpg

 

 

Posté(e)

 

Et tout ceci pour pas une tune , quasiment ...

Que fait donc la recherche ?

 

Serait-elle bousculée par la politique du chiffre ,

amplement possédée par les résultats que l'on connait déjà ?!!

 

Les chercheurs auraient-ils par grand hasard un budget limité ..

Depuis une semaine j'ai l'impression que certaines informations sont plus libres ....

 

Autant regarder un film plus que passionnant , avec plein de lieux et d'époques différentes :

 

 

 

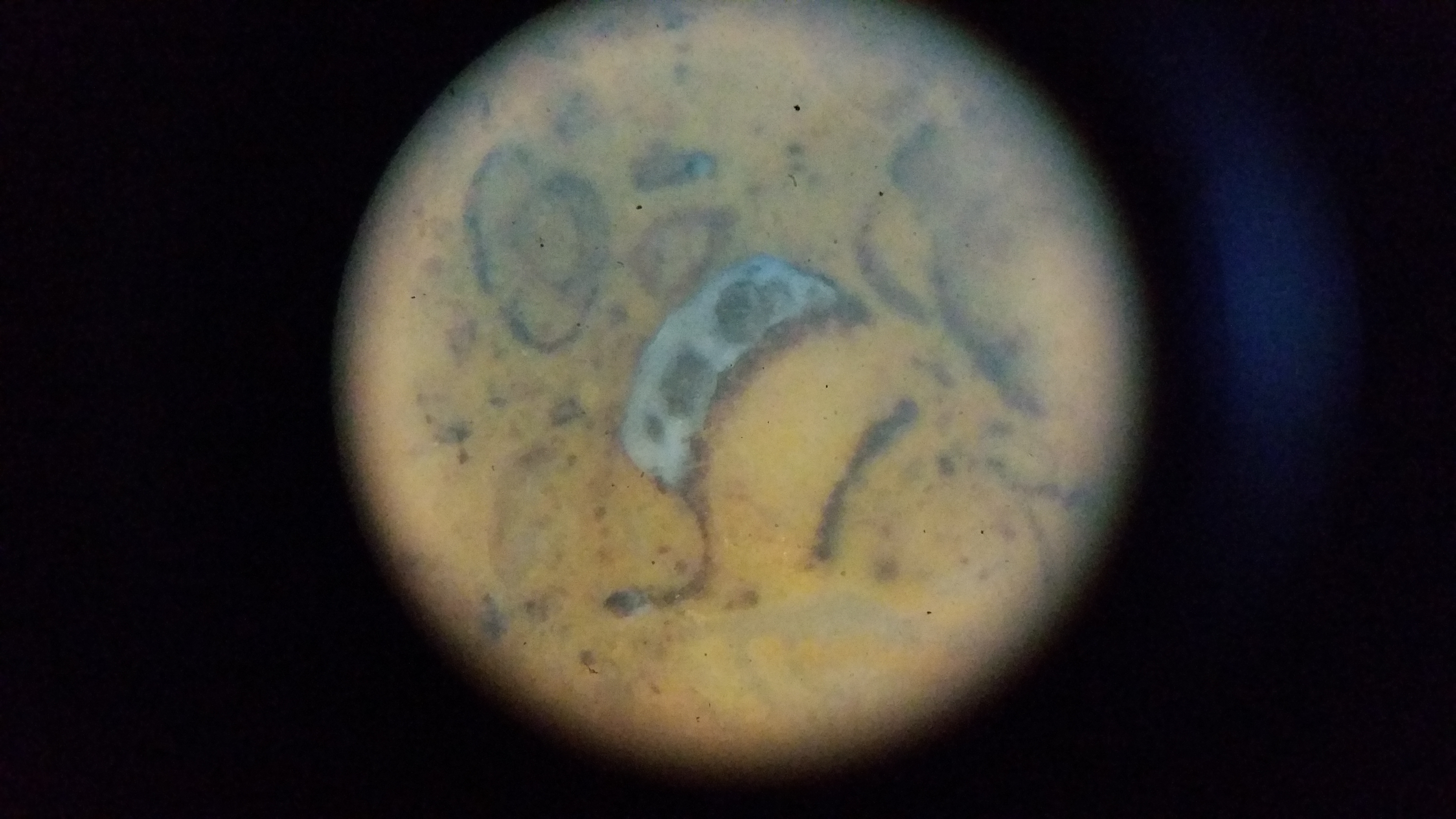
20180330_175308.jpg

 

Ce dernier ressemble à une section de tige de plante ancienne ... les cercles sont fermés et non en spirale ,

 

Vous souhaitant par ces images de passer une bonne nuit !

Posté(e)

De ce que je connais dans ton dernier caillou: milioles + 1 alvéoline + 1 nummulite. ... Et des bidules que je ne sais pas identifier.

Un peu de lecture: http://geolfrance.brgm.fr/sites/default/files/upload/documents/revues_articles_gf1-2-2010.pdf

avec quelques photos d'alvéolines et une liste de petits foraminifères longue comme le bras (et les Nummulites, Alvéolines, ...c'est en plus)

La zonation du Paléogène, basée sur les gros foraminifères:

5abf66e044f6b_Forampalogne.JPG.50993b79e15bd9e0d3fc75fc2fbe5e36.JPG

Rejoindre le sujet et participer

Pour poster un message, il faut créer un compte membre. Si vous avez un compte membre, connectez-vous maintenant pour publier dans ce sujet.

Invité
Répondre à ce sujet…

×   Collé en tant que texte enrichi.   Restaurer la mise en forme

  Seulement 75 émoticônes maximum sont autorisées.

×   Votre lien a été automatiquement intégré.   Afficher plutôt comme un lien

×   Votre contenu précédent a été rétabli.   Vider l’éditeur

×   Vous ne pouvez pas directement coller des images. Envoyez-les depuis votre ordinateur ou insérez-les depuis une URL.

×
×
  • Créer...