Aller au contenu
Géoforum est un forum de géologie, minéralogie, paléontologie, volcanologie et, plus généralement, un site dédié aux Sciences de la Terre et au patrimoine géologique. Les discussions s'organisent dans des espaces spécifiques, il existe un forum géologie, un forum minéraux, un forum fossiles, un forum volcans, etc. Une galerie de photos de minéraux ou de roches, de photos de fossiles, ou encore de sites géologiques ou de volcans permet de partager des albums. Il est possible de publier des offres d'emploi de géologue, ou des demandes d'emploi ou stage de géologues. Venez poser vos questions, partager vos connaissances, vivre votre passion !

Quelques-uns des principaux sujets de Géoforum

Bourse minéraux à Paris, avec fossiles et gemmes.
Bourse minéraux et fossiles à PARIS

Principaux sujets de Géoforum.


Bourse aux minéraux et fossiles de Beauvais.
Bourse aux minéraux et fossiles de Beauvais les 28 et 29 mars

Messages recommandés

Posté(e)

De tout ce qui est la collection sans fin , rien ne m'appartient ,

et à quoi bon biostratographiquement parlant celà pourrait-il servir ?

Mon père a été président du muséum de la Réole en Gironde ,

et j'espère bientôt vous montrer des photos de météorites ,

trouvées dans les champs , longtemps après la pluie ...

 

Posté(e)

Histoire de faire un peu de ménage de printemps , voici quelques galets qui traînaient ..:

 

20180327_144136(0).jpg

 

Dès que c'est terminé avec cette ammonite un peu étrange , on va pouvoir passer aux choses sérieuses ,

car l'espace dégagé , on y voit beaucoup plus clair et l'on est donc nécessairement à même d'être exponentiellement plus efficace .

Posté(e)

le premier , un genre de calcaire à diatomées et autres :

 

20180327_201554.jpg

20180327_201617.jpg

20180327_201721.jpg

20180327_201816.jpg

20180327_201937.jpg

... comme une impression de déjà vu :

20180327_202056.jpg

20180327_202143.jpg

 

Le second n'était pas intéressant , c'était du calcaire assez friable avec des fragments de quelque chose d'origine biologique .

Posté(e)
Citation

Un animal ( du latin animalis « animé , vivant , animal » ) est en biologie , selon la classification classique , un être vivant hétérotrophe , c’est-à-dire qu’il se nourrit de substances organiques. On réserve aujourd'hui le terme « animal » à des êtres complexes et multicellulaires , bien qu’on ait longtemps considéré les protozoaires comme des animaux unicellulaires . Comme tous les êtres vivants , chaque animal a des semblables avec qui il forme un groupe homogène , appelé espèce .

 

Eléments trois , quatre et cinq , dont vous reconnaîtrez les mini animaux millionnaires , semblant pourtant et pour autant toujours en l'état , comme ils étaient :

 

20180327_233107.jpg

20180327_233143.jpg

20180327_233209.jpg

20180327_233329.jpg

 

20180327_233609.jpg

20180327_233641(0).jpg

20180327_233926.jpg

20180327_234031.jpg

 

20180327_234251.jpg

20180327_234409.jpg

20180327_234448.jpg

20180327_234724.jpg

20180327_234748(0).jpg

20180327_234822.jpg

20180327_234924.jpg

20180327_234951.jpg

20180327_235203.jpg

20180327_235229.jpg

20180327_235308(0).jpg

20180327_235342.jpg

20180327_235648.jpg

20180327_235716.jpg

Posté(e)

Un sixième élément avec beaucoup de monde à l'intérieur ,

divertissant et ludique pour la chasse au trésor de l'information , mais aussi pour l'éveil du matin , au levé du jour , ou du lit ..:

( c'est tout de même une aventure passionnante quant aux possibilités de découvertes que peut nous offrir l'existence ;

c'est le temps que les images chargent , ne sachant pas trop quoi interpréter comme commentaire ^^ )

 

20180328_014613(0).jpg

20180328_014739.jpg

20180328_014806(0).jpg

20180328_014839.jpg

20180328_015145.jpg

20180328_015412.jpg

20180328_015428.jpg

20180328_015630.jpg

20180328_015654.jpg

20180328_015725.jpg

20180328_015755(0).jpg

20180328_015811.jpg

20180328_015825.jpg

20180328_015936.jpg

20180328_020004.jpg

20180328_020048.jpg

20180328_020148.jpg

20180328_020435.jpg

20180328_020518.jpg

20180328_020612.jpg

20180328_020641.jpg

20180328_020843.jpg

20180328_020918(0).jpg

20180328_021151(0).jpg

20180328_021211.jpg

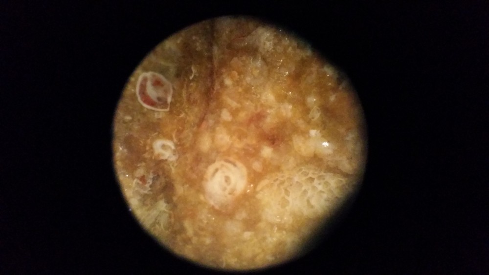
Posté(e)

Beaucoup de Foraminifères benthiques de petite taille et assez homogène en dimension et espèce, déterminables avec de belles sections.

travailler la qualité d’image pourrait apporter des précisions sur le contenu détritique : grains silici-clastiques, argiles, glauconie, diagenèse, porosité (par dissolution dans le ciment intergranulaire dans les dernières vues).

 

Lutétien possible.

Eocène probable,

Oligocène inf pas impossible

 

 

Posté(e)

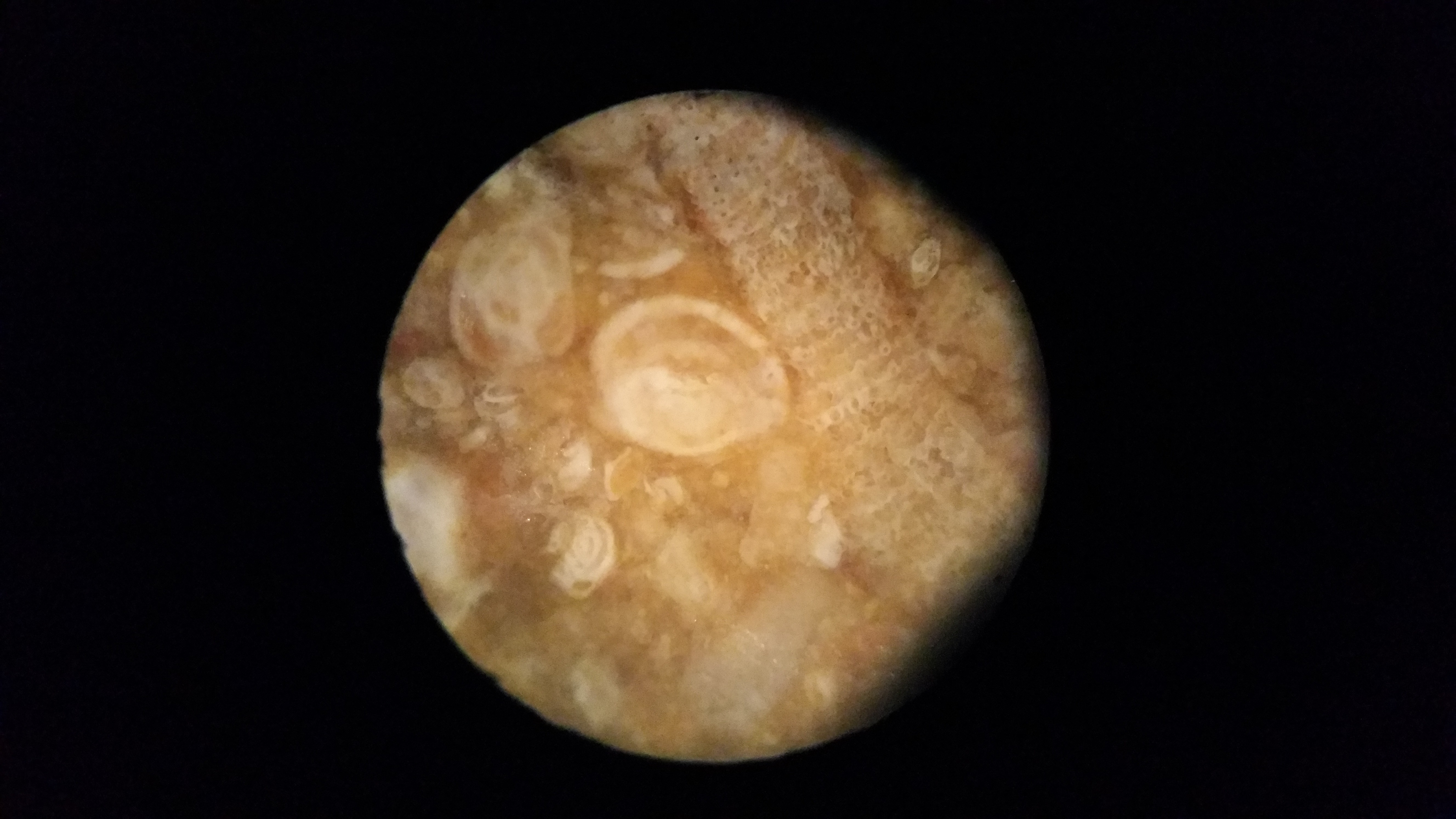
Ca a l'air d'être très siliceux.

Des moules externes et internes de bivalves, 1 moule interne de mini-gastéropode. Les coquilles ont du être dissoutes.

De nombreuses alvéolines.

Sur la série d'avant on remarque des alvéolines entièrement silicifiées, touchant presque d'autres, intactes.

Posté(e)

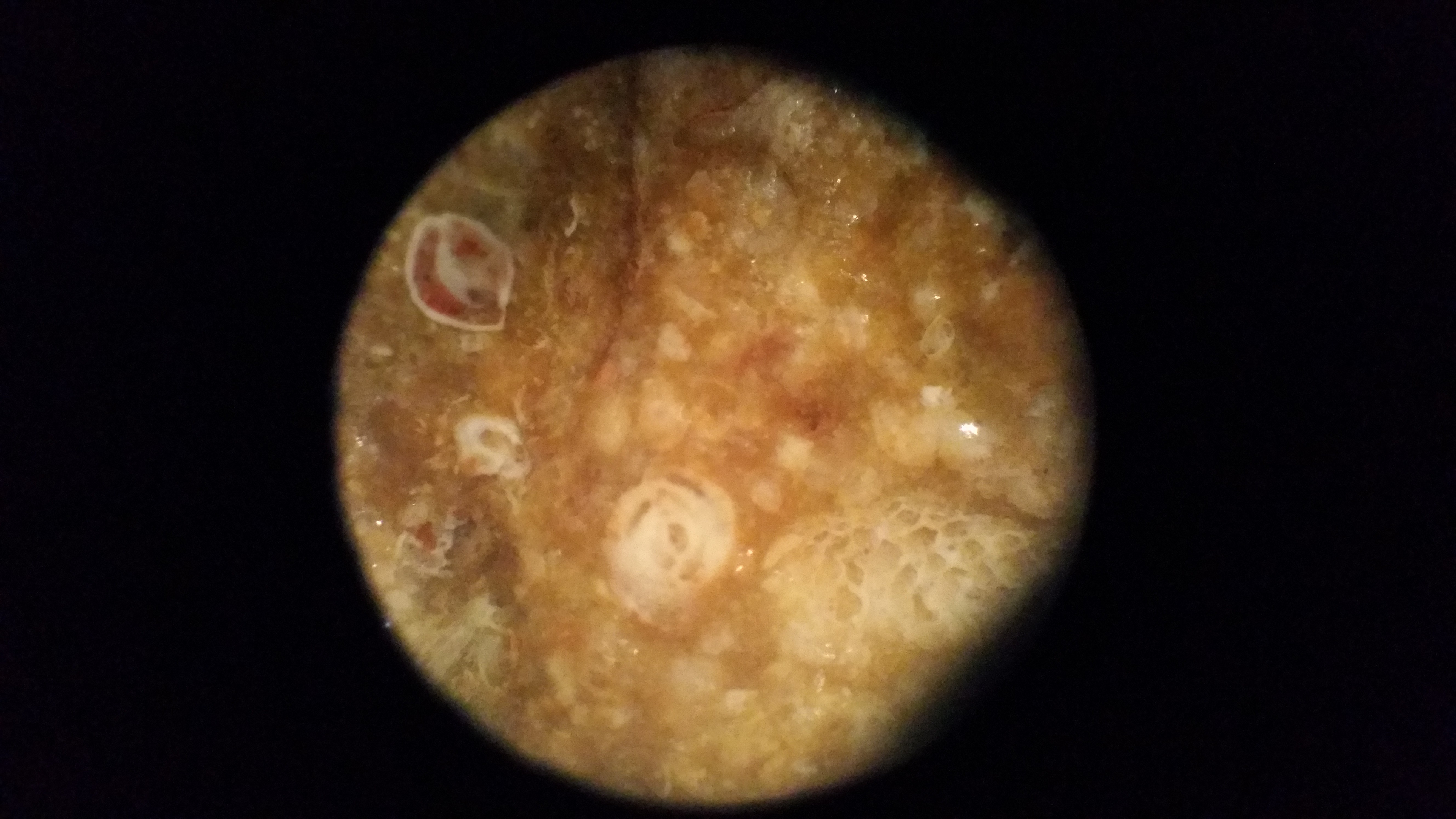
Si tu confirmes que tout est silicifié alors tu as trouvé des graviers d’un niveau marin émergé par la suite, et ayant subi un fort lessivage.... avant érosion et transport: une hypothèse parmi d’autres mais les cas de figures sont restreints.

 

quelques remplissages de glauconie, et quelques grains détritiques anguleux, mais surtout un ciment translucide dont la nature mineralo est à confirmer.

 

Les couleurs bariolées, les dissolutions et le ciment sont de bons indicateurs de forte transformation diagénétique par émersion.

 

Un type de gravier que tu peux isoler des autres dans un sujet à part avec des critères réunis de

foraminifères, dissolution, glauconie, ciment translucide, et teintes bariolées beige à mauve.

Posté(e)

Un monde de ouf, là-dedans!

Ce que tu appelles probablement globigérines sont en fait des milioles.

Vu passer aussi une probable section de bivalve et probablement aussi du bryozoaire.

Le ciment a bien l'air d'être uniformément siliceux. Ne doit pas y avoir beaucoup d'effervescence à l'acide. Oui/non?

J'ai trouvé ceci: Corrélations stratigraphiques par microfaciès en Aquitaine Occidentale avec 178 photos

Ca ne se trouve pas en libre accès sur le web mais si tu es prêt à dépenser 10 dollars: https://www.onepetro.org/conference-paper/WPC-4033.

Avec ça, tu devrais trouver beaucoup de réponses à tes interrogations.

 

Posté(e)

Merci à tous deux , on est sur la bonne voie j'ai l'impression !

Les deux derniers ont une forte réaction avec de petites bulles et sont légèrement rayés par le quartz .

 

il y a 53 minutes, Next50MY a dit :

Si tu confirmes que tout est silicifié alors tu as trouvé des graviers d’un niveau marin émergé par la suite, et ayant subi un fort lessivage.... avant érosion et transport: une hypothèse parmi d’autres mais les cas de figures sont restreints.

 

Un type de gravier que tu peux isoler des autres dans un sujet à part avec des critères réunis de

foraminifères, dissolution, glauconie, ciment translucide, et teintes bariolées beige à mauve.

 

Tant mieux si les cas de figures sont restreint , ça élimine beaucoup de possibilité , non ?

 

Pour le nouveau sujet , foraminifère avec transformation diagénétique n'est-ce pas suffisant ,

dans le cas où il y en ait sans glauconie par exemple ?

 

il y a 40 minutes, jjnom a dit :

Un monde de ouf, là-dedans!

 

Avec ça, tu devrais trouver beaucoup de réponses à tes interrogations.

 

... et ce n'est que le début , le sujet n'a que un an ... ^^

 

La chasse au trésor de l'information n'est-elle pas plus amusante qu'une réponse ?

( en comptant aussi sur vous , sans quoi ça serait déjà beaucoup moins  possible )

Posté(e)

On se rapproche d’un des sédiments d’origine.

 

Ok si ça bouillonne, c’est rassurant, mais dommage que ce ne soit pas siliceux.

Bien diagenetisé tout de même.

 

images de qualité qui permet de faire de bonnes analyses à qui veut s’exercer aux micro-facies

bonne ref de jjnom qu’on doit retrouver sans debourser un rouble

Posté(e)

Merci gaeldeploeg , si l'on est plusieurs on a des chances d'y arriver , car la détermination de roches erratiques n'a pas l'air évidente du tout !

Grâce à ton tableau je vais pouvoir vous donner le nom de tous les organismes cités dedans et déjà rencontrés ...

 

La première photo est la petite partie immergée dans l'hcl , qui laisse apparaître les grains de sable de l'époque ,

et les autres photos , le résidu non réactif ( immergé dans l'eau ) ..:

 

20180329_190443(0).jpg

20180329_190554.jpg

20180329_190644.jpg

20180329_190703.jpg

20180329_190737.jpg

20180329_190753.jpg

20180329_190834.jpg

20180329_190847(0).jpg

20180329_190858.jpg

20180329_190959.jpg

Rejoindre le sujet et participer

Pour poster un message, il faut créer un compte membre. Si vous avez un compte membre, connectez-vous maintenant pour publier dans ce sujet.

Invité
Répondre à ce sujet…

×   Collé en tant que texte enrichi.   Restaurer la mise en forme

  Seulement 75 émoticônes maximum sont autorisées.

×   Votre lien a été automatiquement intégré.   Afficher plutôt comme un lien

×   Votre contenu précédent a été rétabli.   Vider l’éditeur

×   Vous ne pouvez pas directement coller des images. Envoyez-les depuis votre ordinateur ou insérez-les depuis une URL.

×
×
  • Créer...