Aller au contenu
Géoforum est un forum de géologie, minéralogie, paléontologie, volcanologie et, plus généralement, un site dédié aux Sciences de la Terre et au patrimoine géologique. Les discussions s'organisent dans des espaces spécifiques, il existe un forum géologie, un forum minéraux, un forum fossiles, un forum volcans, etc. Une galerie de photos de minéraux ou de roches, de photos de fossiles, ou encore de sites géologiques ou de volcans permet de partager des albums. Il est possible de publier des offres d'emploi de géologue, ou des demandes d'emploi ou stage de géologues. Venez poser vos questions, partager vos connaissances, vivre votre passion !

Quelques-uns des principaux sujets de Géoforum

Vente et achat de minéraux français et cristaux du monde sur Internet.
▲  Vente et achat de minéraux français et cristaux du monde sur Internet  ▲

Messages recommandés

Posté(e)
Il y a 4 heures, jean francois06 a dit :

 

Trés interressant le site paleopolis , et les deux autres liens il m'est impossible de les ouvrir avec le téléphone .

Hâte de pouvoir imprimer ces documents pour mieux les étudier ....

Posté(e)
Le 2/17/2017 à 15:13, Lucailloux a dit :

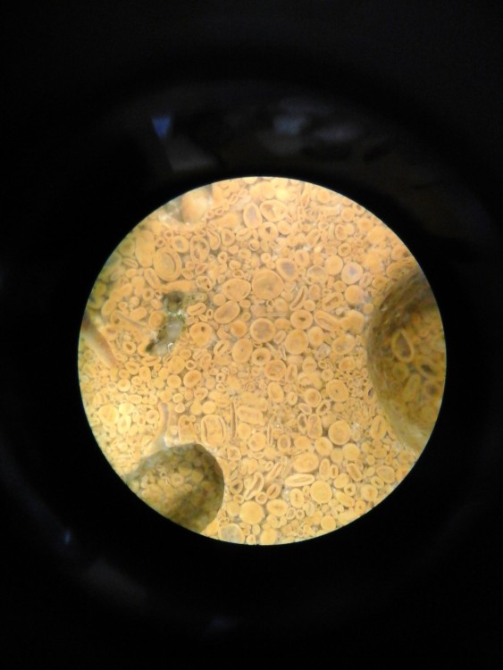
Ça c'est du bon grainstone, une oosparite avec quelques clastes.

(Oosparite = sédiment calcaire avec des oolithes et un ciment translucide de calcite sparitique)

 

Pour en revenir au grainstones ... avec j'espère de meilleurs photos , et avec cette fois-çi différentes lentilles .

 

Posté(e)

Les deux suivantes sont en argile , toujours polies en essayant de conserver au maximum la forme trouvée , tout en pouvant déceler le maximum de micro-organisme afin d'en découvrir de nouveaux .

C'est comme une collection sans fin ...

Posté(e)
Le 2/16/2017 à 10:27, Nanil a dit :

Peut-être bien , en tout cas grâce à toi j'ai trouvé un autre spécimen avec les mots clés " articles d'encrine " dans google image ... qui y correspond exactement ( 4 mm d'envergure ) :

1487237184423.jpg

 

Dans la journée j'essaierai de présenter ce qu'il peut y avoir d'autre dans la pierre contenant cette empreinte de crinoïde , cette petite beauté ressemblant à une étoile de mer ... au prochain épisode , dans quelques heures ou quelques minutes ... ^^

 

1488890575583.jpg

Posté(e)

C'est amusant de scruter sur la toile d'internet pour en déceler les différentes images , en creusant dans le moteur de recherche en vue d'y découvrir les différentes variétés de grainstone tel que le wackestone , le mudstone et le packstone .

C'est apparemment de ce dernier dont il s'agit là .

Rejoindre le sujet et participer

Pour poster un message, il faut créer un compte membre. Si vous avez un compte membre, connectez-vous maintenant pour publier dans ce sujet.

Invité
Répondre à ce sujet…

×   Collé en tant que texte enrichi.   Restaurer la mise en forme

  Seulement 75 émoticônes maximum sont autorisées.

×   Votre lien a été automatiquement intégré.   Afficher plutôt comme un lien

×   Votre contenu précédent a été rétabli.   Vider l’éditeur

×   Vous ne pouvez pas directement coller des images. Envoyez-les depuis votre ordinateur ou insérez-les depuis une URL.

×
×
  • Créer...